Clarius
Clarius

Características: 100% inalámbrico Brinda imágenes de alta definición. Es ultraportátil. Es un diseño especializado para tu práctica médica. Ampliamente útil en diversas áreas médicas: Estética, Anestesia, Intervencionista, Cirugía Plástica, Reumatología.

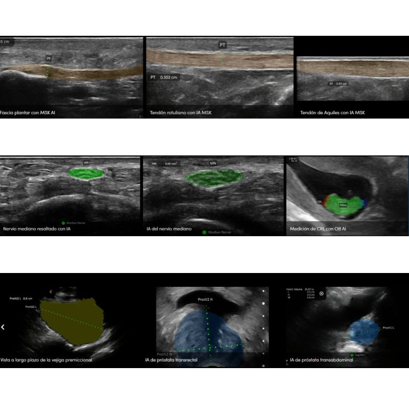
Clarius te permite identificar la anatomía con precisión, diagnosticar patologías con confianza y guiar procedimientos en tiempo real. Impulsado por inteligencia artificial y equipado con 192 elementos piezoeléctricos y ocho formadores de haz, Clarius HD3 ofrece un rendimiento excepcional en un diseño compacto y fácil de usar. Además, con su conexión WIFI directa a dispositivos móviles iOS o Android, olvídate de los cables y las limitaciones.

Servicio post-venta
Garantía
Repuestos y consumibles
Transporte propio
Scroll