Ecografía

Ecógrafo RS85 Prestige

Samsung
Ecógrafo RS85 Prestige

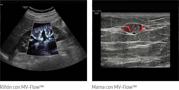
RS85 Prestige proporciona una amplia gama de fusiones precisas, guías y herramientas dedicadas para apoyar a los profesionales sanitarios a reforzar su confianza en la realización de procedimientos intervencionistas. Su sistema S-Fusion permite la localización simultánea de una lesión utilizando ultrasonidos en tiempo real junto con otras modalidades de imagen volumétrica. El registro automático de Samsung ayuda a fusionar de forma rápida y precisa, aumentando la eficacia y reduciendo el tiempo del procedimiento. S-Fusión permite una orientación precisa durante los procedimientos clínicos avanzados.

Categoría: Radiología
Línea: Ecografía
Servicio post-venta
Garantía
Repuestos y consumibles
Transporte propio
Scroll